Por que o tratamento prévio é fundamental para o seu sorriso perfeito?
Por que o tratamento prévio é fundamental para o seu sorriso perfeito?

Implantes Dentários: Por que o tratamento prévio é fundamental para o seu sorriso perfeito?

Implantes Dentários: Por Que o Cuidado Antes do Tratamento Faz Toda a Diferença no Seu Sorriso

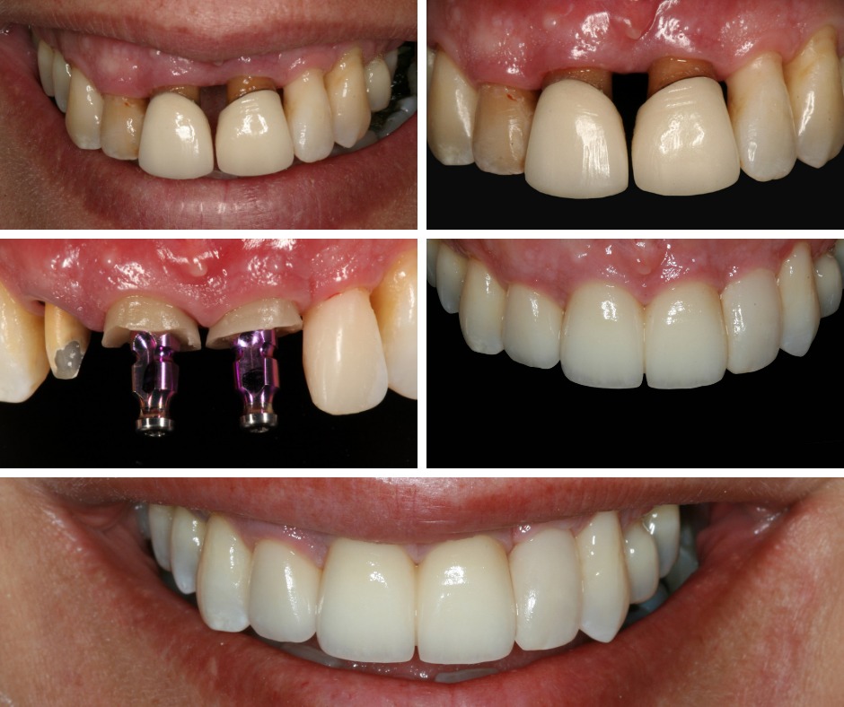
Olha, quando a gente pensa em implantes dentários, a primeira coisa que vem à cabeça é aquele sorriso bonito, bem alinhado, né? Mas tem uma coisa importante aí que, às vezes, passa batido: o tratamento antes do implante, aquele “passo a passo” que prepara o terreno pra receber o novo dente. Muita gente quer pular direto pro final – o sorriso perfeito –, mas o processo todo começa bem antes, e esse preparo inicial é o que vai garantir que o resultado seja firme e dure por muito tempo. Descubra com a Hitoshi Odontologia por que o preparo antes dos implantes dentários faz toda a diferença para conquistar o sorriso perfeito e saudável.

Fonte de reprodução: Youtube Implante Dentário – Dr. Renato Jordão

Implantes Dentários: O Que Vem Antes É Crucial!

A verdade é que o osso onde o implante vai ficar precisa estar saudável e pronto pra receber o dente novo. Imagina só querer construir uma casa, mas o terreno tá meio capenga… não dá, né? Da mesma forma, o osso da mandíbula ou da maxila tem que estar no ponto pra suportar o implante. Se não tiver, pode ser que o implante não “pegue” bem, e isso é dor de cabeça.

Nessa etapa, o dentista vai avaliar como tá a situação do osso e da gengiva, pois qualquer problema ali – tipo uma infecção, por exemplo – pode comprometer o sucesso do implante. Às vezes, é necessário fazer um tratamento de fortalecimento do osso ou até enxertar um pedacinho de osso novo ali pra deixar tudo firme. Parece complicado? É um cuidado a mais que, no final das contas, garante que o sorriso vai durar sem problema.

Por que o tratamento prévio é fundamental para o seu sorriso perfeito?
Por que o tratamento prévio é fundamental para o seu sorriso perfeito?

Um Sorriso Perfeito Exige Preparo

Não adianta querer pular as etapas. Um bom dentista vai falar isso de cara: o que faz o implante dar certo é a qualidade do osso, da gengiva e de toda a “base” onde o novo dente vai ficar. Pode até parecer uma chatice ter que fazer tratamento antes, mas é aquela velha história do “devagar e sempre”.

O preparo é essencial pra garantir que o implante não só fique bem encaixado, mas que ele dure e fique natural. Já pensou investir num sorriso lindo, mas que começa a incomodar com o tempo? Com o cuidado certo antes, isso não acontece. Aliás, a maioria das pessoas que faz esse processo pré-implante acaba elogiando a firmeza do resultado – não é só aparência, é a confiança de que tá tudo seguro.

Como Funciona o Processo de Avaliação Antes do Implante

Primeiro, o dentista vai fazer um exame detalhado, e muitas vezes isso inclui radiografias pra ver a condição do osso. A ideia é entender a estrutura da boca, o que tá bom e o que precisa de um “empurrãozinho” a mais. Esse exame é um dos passos mais importantes, porque revela tudo o que tá por trás do sorriso que a gente vê.

Caso o osso não esteja na espessura ou densidade ideais, pode ser que seja preciso um procedimento de enxerto ósseo. E olha, é mais comum do que parece. A falta de osso acontece, especialmente se a pessoa perdeu o dente há muito tempo e o osso começou a se desgastar. Mas, com as técnicas modernas, esse reforço no osso é feito de forma segura e eficiente, garantindo que o implante fique bem.

Por que o tratamento prévio é fundamental para o seu sorriso perfeito?
Por que o tratamento prévio é fundamental para o seu sorriso perfeito?

Saúde da Gengiva Também É Fundamental

A gengiva, coitada, às vezes fica esquecida no meio da conversa sobre implantes, mas ela é tão importante quanto o osso. Ela precisa estar saudável, sem inflamações, porque uma gengiva inflamada pode complicar a cicatrização e fazer o implante falhar. Um sorriso bonito vem de um conjunto de coisas que se complementam, e a gengiva é uma parte essencial disso.

Se houver qualquer tipo de doença periodontal, o dentista vai tratar antes de prosseguir com o implante. Esse cuidado todo é o que vai garantir que o implante se integre de verdade e fique firme por muito tempo.

A História de Uma Cliente Que Mudou Seu Sorriso

Uma vez, uma cliente me contou sobre sua jornada até o implante. Ela estava ansiosa pra ter o sorriso perfeito e achou que seria rápido. Mas quando o dentista explicou a necessidade de um tratamento prévio – pra ajustar o osso e cuidar da gengiva –, ela ficou meio desanimada. Mesmo assim, seguiu o conselho dele e fez tudo certinho. Depois do tratamento e da espera, ela me disse que nunca tinha se sentido tão confiante com o sorriso dela. Ela disse: “No fim, valeu cada consulta e cada procedimento, porque agora eu posso rir sem me preocupar”. É isso que o cuidado antes do implante faz: garante uma segurança que dura muito além do consultório.

Então, na próxima vez que você pensar em fazer um implante, lembra que o “começo” faz toda a diferença no final.

Por que o tratamento prévio é fundamental para o seu sorriso perfeito?
Por que o tratamento prévio é fundamental para o seu sorriso perfeito?

Hitoshi Odontologia: Cuidando do Seu Sorriso com Carinho e Profissionalismo

Sabe aquele sorriso que a gente tanto quer mostrar? Na Hitoshi Odontologia, eles entendem que cuidar dos dentes vai muito além de uma simples consulta – é um trabalho feito com dedicação e atenção em cada detalhe, sempre pensando no bem-estar de cada paciente. Desde o primeiro contato, já dá pra sentir o cuidado e o acolhimento da equipe, que faz de tudo pra que a experiência seja tranquila e, claro, sem aquele nervoso que costuma bater quando a gente pensa em ir ao dentista. Aqui, eles transformam o consultório em um lugar acolhedor, quase como um refúgio, onde você se sente em boas mãos.

Uma amiga minha foi lá recentemente pra um tratamento e saiu encantada. Ela sempre teve um certo medinho de dentista, mas o pessoal da Hitoshi fez questão de explicar tudo, passo a passo, sem pressa. Isso fez toda a diferença! Ela falou que se sentiu compreendida, como se fosse uma amiga de longa data sendo cuidada. Essa é a essência da Hitoshi Odontologia: eles cuidam de cada sorriso com carinho, como se fosse único, e com uma leveza que só quem realmente ama o que faz consegue passar.

Por que o tratamento prévio é fundamental para o seu sorriso perfeito?
Por que o tratamento prévio é fundamental para o seu sorriso perfeito?

FAQ: Implantes Dentários

1. Quais são os riscos de um implante dentário?

Os implantes para substituir os dentes superiores podem penetrar no seio, causando desconforto ou possível infecção. Se isso acontecer, seu dentista informará o que você pode fazer para controlar a situação. Infecção: Como qualquer procedimento cirúrgico, a cirurgia de implante dentário apresenta risco de infecção

2. Quanto tempo após ter feito o implante pode colocar o dente?

Em geral, o tempo ideal para colocar o dente após o implante pode variar de 22 dias a 6 meses. Mas, precisamos ressaltar que apenas um dentista de qualidade em Taguatinga pode avaliar o seu caso de forma individualizada e determinar o tempo ideal para colocar o dente após o implante dentário.

3. Qual é a pior parte do implante dentário?

A pior parte do implante dentário é o pós-operatório, período no qual o paciente ainda está se adequando ao implante. No entanto, seguindo as recomendações do dentista, é possível passar por isso da maneira mais confortável possível, além de evitar possíveis complicações.

Comments

No comments yet. Why don’t you start the discussion?

Leave a Reply

Your email address will not be published. Required fields are marked *